Szczepionki COVID – dlaczego nie mogą działać

Prof. dr Arne Burckhardt jest jednym z czołowych patologów w Europie. Który na prośbę krewnych zmarłych, postanowił przeprowadzić sekcję zwłok 15 przypadków osób, które zmarły wkrótce po zaszczepieniu przeciwko Covidowi. Osoby te nie miały innej poważnej patologii, która wskazywałaby na oczywistą przyczynę śmierci.

Wniosek z tyk przeprowadzonych sekcji jest następujący: „ Analizy histopatologiczne wykazują wyraźne dowody na patologię autoimmunologiczną w wielu narządach wywołane szczepionką. Niewątpliwie u wszystkich osób z dużą częstotliwością wystąpiły liczne zdarzenia niepożądane wynikające z tych procesów autodestrukcjiktóre wystąpiły zwłaszcza po wstrzyknięciach przypominających.

Bez wątpienia podawanie ludziom szczepionek przeciw COVID-19 opartych na genach naraża ich na ryzyko zachorowania i śmierci. Widzimy, że wśród tych przypadków reprezentowane są szczepionki czterech największych producentów oparte na mRNA, jak i na wektorach”.

Ten tekst jest pisemnym podsumowaniem prezentacji dr Bhakdi i dr Burkchardt podczas sympozjum Lekarze na rzecz etyki COVID, które było transmitowane na żywo w UKColumn 10 grudnia 2021 r. Obie prezentacje można obejrzeć na wideo z sympozjum .

Dr Sucharit Bhakdi i dr Arne Burckhardt (*)

Oto dowody naukowe wzywające do natychmiastowego zaprzestania stosowania szczepionek genetycznych przeciwko COVID-19. Najpierw omówimy, dlaczego agenci nie mogą chronić przed infekcją wirusową. Chociaż nie można oczekiwać pozytywnych efektów, pokazujemy, że szczepionki mogą wywołać autodestrukcyjne procesy, które prowadzą do wyniszczających chorób i śmierci.

Dlaczego szczepionki nie chronią przed infekcją

Podstawowym błędem leżącym u podstaw rozwoju szczepionek COVID-19 było zaniedbanie funkcjonalnego rozróżnienia między dwiema głównymi kategoriami przeciwciał, które organizm wytwarza w celu ochrony przed patogennymi drobnoustrojami.

Pierwsza kategoria (wydzielnicze IgA) jest wytwarzana przez komórki odpornościowe (limfocyty), które znajdują się bezpośrednio pod błonami śluzowymi wyścielającymi dróg oddechowych i jelit. Tak więc przeciwciała te znajdują się tam, gdzie znajdują się wirusy przenoszone drogą powietrzną i mogą być w stanie zapobiegać przyczepianiu się wirusa i infekcji komórek.

Druga kategoria przeciwciał (krążące IgG i IgA) znajduje się w krwiobiegu. Te przeciwciała chronią narządy wewnętrzne organizmu przed czynnikami zakaźnymi próbującymi rozprzestrzeniać się przez krwiobieg.

Szczepionki wstrzyknięte do organizmu będą indukować tylko krążące IgG i IgA, a nie sekwencje IgA. Te przeciwciała nie mogą i nie będą skutecznie chronić błon śluzowych przed zakażeniem SARS-CoV-2. Tak więc „przełomowe infekcje” obserwowane obecnie wśród zaszczepionych osób, potwierdzają jedynie podstawowe wady konstrukcyjne szczepionek. Pomiary przeciwciał we krwi nigdy nie mogą dostarczyć informacji o prawdziwym stanie odporności na infekcje dróg oddechowych.

W ostatnich publikacjach naukowych doniesiono o niezdolności przeciwciał indukowanych szczepionką do zapobiegania zakażeniom koronawirusem.

Szczepionki mogą wywołać samozniszczenie

Naturalna infekcja SARS-CoV-2 (koronawirusem) pozostanie u większości osób zlokalizowana w drogach oddechowych. Szczepionki raczej powodują, że komórki głęboko w naszych ciałach wyrażają wirusowe białko kolce, coś, czego nigdy nie powinno się zdarzyć w naturalny sposób. 

Każda komórka, która wyraża ten obcy antygen, zostanie zaatakowana przez układ odpornościowy, będzie obejmować zarówno przeciwciała IgG, jak i cytotoksyczne limfocyty T. To może się wydarzyć w każdym narządzie. Dziś widzimy, że u wielu młodych ludzi serce jest dotknięte chorobą, powodując zapalenie mięśnia sercowego, a nawet nagłe zatrzymanie akcji serca i śmierć. Jak i dlaczego te tragedie mogą być związane ze szczepieniami, pozostaje kwestią przypuszczeń, ponieważ brakuje dowodów naukowych. 

Ta sytuacja została teraz naprawiona.

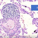
Badania histopatologiczne: pacjenci

Analizie histopatologicznej poddano narządy 15 osób zmarłych po szczepieniu. Wiek, płeć, rejestr szczepień i czas zgonu po wstrzyknięciu dla każdego pacjenta są wymienione w poniższej tabeli. Następujące punkty mają ogromne znaczenie:

Przed śmiercią tylko 4 z 15 pacjentów było leczonych na OIT przez ponad 2 dni.  Większość nigdy nie była hospitalizowana i zmarła w domu (5), na ulicy (1), w pracy (1), w samochodzie (1) lub w domach opieki (1). Dlatego w większości przypadków jest mało prawdopodobne, aby interwencja terapeutyczna miała istotny wpływ na wyniki sekcji zwłok.

Wykonane początkowo konwencjonalne autopsje nie ujawniły żadnych oczywistych dowodów na możliwą rolę szczepień, ponieważ ogólny wygląd narządów był ogólnie nieokreślony. W większości przypadków jako przyczynę śmierci podano „rytmiczną niewydolność serca”.

Dopiero późniejsze dokładne analizy histopatologiczne pokazały pprawdziwy obraz . 

Badania histopatologiczne: ustalenia

Znaleziska histopatologiczne o podobnym charakterze wykryto w narządach 14 z 15 zmarłych. Najbardziej dotknięte były serce (14 z 15 przypadków) i płuca (13 z 15 przypadków). Ponadto zmiany patologiczne obserwowano w wątrobie (2 przypadki), tarczycy (zapalenie tarczycy Hashimoto, 2 przypadki), gruczołach ślinowych (zespół Sjögrena; 2 przypadki) i mózgu (2 przypadki).

We wszystkich dotkniętych chorobą tkankach i we wszystkich przypadkach dominował szereg ważnych aspektów

1) stany zapalne w małych naczyniach krwionośnych (zapalenie śródbłonka), charakteryzujące się dużą ilością limfocytów T i martwych komórek śródbłonka ukrytych w świetle naczyń;

2) rozległe okołonaczyniowe nagromadzenie limfocytów T;

3) masywny naciek limfocytarny okolicznych narządów lub tkanek nielimfatycznych limfocytami T.

Czasami infiltracja limfocytów występowała w połączeniu z intensywną aktywacją limfocytów i tworzeniem pęcherzyków. Tam, gdzie były obecne, często towarzyszyło im zniszczenie tkanek.

Ta kombinacja wieloogniskowej patologii, zdominowanej przez limfocyty T, która wyraźnie odzwierciedla proces autoagresji immunologicznej, jest bezprecedensowa. Ponieważ szczepienie było jedynym wspólnym mianownikiem wśród wszystkich przypadków, nie ma wątpliwości, że było to przyczyną samozniszczenia u tych zmarłych osób.

Wniosek

Analizy histopatologiczne wykazują wyraźne dowody na patologię autoimmunologiczną w wielu narządach wywołaną szczepionką. Niewątpliwie u wszystkich osób z dużą częstotliwością należy spodziewać się niezliczonych zdarzeń niepożądanych wynikających z tych procesów samookaleczenia, zwłaszcza po wstrzyknięciach przypominających.

Bez wątpienia wstrzyknięcie opartych na genach szczepionek przeciw COVID-19 naraża człowieka na ryzyko chorób i śmierci. Zauważamy, że wśród tych przypadków reprezentowane są zarówno szczepionki oparte na mRNA, jak i oparte na wektorach czterech największych producentów.

„ Uwagi i zalecenia dotyczące sekcji zwłok (sekcja zwłok) osób zmarłych w związku ze szczepieniem COVID ”, autorstwa prof. dr Arne Burckhardt.

https://rumble.com/vqj9mh-doctors-for-covid-ethics-an-interdisciplinary-symposium-ii-sounding-the-cal.html

Autorzy

Dr Bhakdi spędził swoje życie praktykując, nauczając i badając mikrobiologię medyczną i choroby zakaźne. Od 1990 r. do przejścia na emeryturę w 2012 r. był przewodniczącym Instytutu Mikrobiologii Medycznej i Higieny na Uniwersytecie Jana Gutenberga w Moguncji (Niemcy). Opublikował ponad 300 artykułów naukowych z dziedziny immunologii, bakteriologii, wirusologii i parazytologii oraz w latach 1990-2012 był redaktorem naczelnym Medical Microbiology and Immunology , jednego z pierwszych czasopism naukowych z tej dziedziny, założonego przez Roberta Kocha w 1887 roku.

Dr Arne Burkhardt jest patologiem, który wykładał na uniwersytetach w Hamburgu, Berno i Tybindze. Był zapraszany jako profesor wizytujący / student w Japonii (Nihon University), Stanach Zjednoczonych (Brookhaven National Institute), Korei, Szwecji, Malezji i Turcji. Przez 18 lat kierował Instytutem Patologii Reutlingen. Następnie pracował jako niezależny patolog z kontraktami konsultingowymi z laboratoriami w Stanach Zjednoczonych. Burkhardt opublikował ponad 150 artykułów naukowych w niemieckich i międzynarodowych czasopismach naukowych, a także wkład do podręczników w języku niemieckim, angielskim i japońskim. Od wielu lat kontroluje i certyfikuje instytuty patologii w Niemczech.

Źródło: doctors4covidethics.org




Nowe badanie sugeruje, że materiał ze szczepionek pozostaje w węzłach chłonnych przez kilka tygodni po szczepieniu i krąży w organizmie

Nowe badanie, w którym wzięło udział prawie 50 badaczy z całego świata wykazało, że antygen i mRNA szczepionki COVID-19 utrzymują się przez kilka tygodni w węzłach chłonnych. Naukowcy przeanalizowali ludzkie węzły chłonne po infekcji i po szczepieniu mRNA. Badania zrobili pod kątem różnic serologicznych i doszli do wniosku, że organizm nie niszczy szybko materiału genetycznego pochodzącego ze szczepionek. Odkryli również, że w niektórych przypadkach we krwi krąży wytworzone ze szczepionki białko kolce.

W czerwcu ubiegłego roku immunolog wirusowy, dr Byram Bridle, któremu jak wielu innym zabroniono dostępu do mediów społecznościowych, „zaalarmował” społeczność medyczną w związku z nowo uzyskanymi danymi wskazującymi na akumulację białek kolców w narządach, spowodowanych przez szczepionki mRNA Moderna jak i Pfizer.

W związku z tym dr Bridle i grupa międzynarodowych naukowców złożyli wniosek do japońskiej agencji regulacyjnej o informacje dotyczące problemu akumulacji i uzyskali dostęp do tak zwanego „badania biodystrybucji”.

Badania pokazują, że białko kolce koronawirusa ze szczepienia COVID-19 niespodziewanie wchodzi do krwiobiegu i tam pozostaje, co jest prawdopodobnym wyjaśnieniem dziesiątek tysięcy zgłoszonych zakrzepów krwi, a także uszkodzeń mózgu i reprodukcji, powiedział kanadyjski badacz szczepionek przeciwnowotworowych.

Należy podkreślić, że dr Bridle jest znanym badaczem szczepionek, który w zeszłym roku otrzymał grant rządowy w wysokości 230 000 USD  na badania nad rozwojem szczepionek przeciw COVID-19.

Inne badanie opublikowane w Journal of Headache and Pain wykazało, że bóle głowy są częstym objawem po szczepieniu na COVID-19, co może być wskaźnikiem wywołanej szczepionką zakrzepicy żył mózgu. (krzepnięcie w mózgu)

Prof. dr Arne Burkhardt na prośbę krewnych zmarłych, przeprowadził sekcje zwłok 15 przypadków osób, które zmarły wkrótce po zaszczepieniu przeciwko Covidowi-19, wyniki tych badań nie pozostawiają żadnych wątpliwości.

Źródło: Wici Polskie




Czechy blokują niezależne czeskie portale informacyjne

„Osiem stron wyłączonych. Po konsultacji z siłami bezpieczeństwa”, „25.02.2022, 15:51 – bezprecedensowy krok w Republice Czeskiej. Web First Notiptiony.cz i inne podobne źródła zostały zablokowane. Ze względu na rosyjską inwazję na Ukrainie” – pisze czeska strona NovaRepublika.cz znajdująca się na liście stron do zablokowania. Po chwili wyświetlił mi się na niej komunikat „502 Bad Gateway” świadczący o przeciążeniu serwera (albo z powodu wzrostu zainteresowania wywołanego publikacją listy stron zakazanych, albo z powodu ataku DDoS).

Władze Czech zablokowały niezależne portale informacyjne, które nie brały udziału w proukraińskiej narracji wojennej. Sprawdziłem, że część stron z opublikowanej listy nie działa (m.in. bardzo podobny do „Wolnych Mediów” portal „Czech Free Press”). Decyzję podjęli operatorzy internetowi na prośbę władz państwowych. To wydarzenie bez precedensu, ponieważ Czechy oficjalnie nie znajdują się w ani stanie wojny, ani nawet w stanie wyjątkowym, aby można był wprowadzać tak daleko idącą cenzurę jaką jest blokowanie obywatelom dostępu do niezależnych wiadomości.

Lista czeskich stron, które przestały działać lub działają, ale są na liście „do zablokowania”: Ac24.czAeronet.czCeskoBezCenzury.cz24Kroons.NewsCzechFreePress.czEurrabia.czExanpro.czInfokuryr.czNarodniNoviny.czNovaRepublika.czNwoo.orgPravyprostor.czProtiproud.czPrvniZpravy.czRukojmi.czSkrytapravda.czSlovanskenebe.comSvobodnenoviny.euSvobodny-vysilac.czVoxpopuliblog.cz i Zvedavec.org. Oprócz tego na liście stron do blokowania znajduje się czeska wersja rosyjskiego „Sputnika” – cz.SputnikNews.com.

Kilka stron jeszcze działa, inne wyświetlają komunikat o przeciążeniu bazy danych (może być to skutek ataków DDoS ukraińskich hakerów), a większość wyświetla komunikat, że strona nie istnieje (co oznacza, że zablokowano ich domeny i serwery).

Większość tych stron to oddolne inicjatywy obywatelskie, które krytykują NWO, banskterów, Wielką Farmację, pandemię, itd., a zablokowanie ich – bez nakazu sądu – może oznaczać koniec niezależnych mediów w Czechach.

Jeśli nasz portal czytają polskie władze – informuję, że „Wolne Media” nie są proukraińskie, antyukraińskie, prorosyjskie ani antyrosyjskie. Informacje przedstawiamy bezstronnie zestawiając informacje wszystkich stron obok siebie, a propagandę rosyjską wyraźnie oddzielając stosownym śródtytułem, gdyż nie interesuje nas propaganda którejkolwiek ze stron, ale obiektywna prawda. W przypadku blokady naszego portalu osoba decydująca o wyłączeniu zostanie zaskarżona do sądu o złamanie prawa (konstytucyjnego zakazu cenzury prewencyjnej i konstytucyjnego prawa do wolności szerzenia informacji i poglądów). Będziemy żądać wysokiego odszkodowania za wyrządzone straty finansowe i wizerunkowe, oraz sfinansowania kampanii reklamowej w celu odzyskania odwiedzalności na poziomie sprzed blokady. Nie od Skarbu Państwa, bo podatnicy nie powinni płacić z podatków za decyzje polityków i służb, lecz od osoby odpowiedzialnej – z imienia i nazwiska.
Źródło: WolneMedia.net




Spotkanie wysokiego szczebla ONZ. Zastanawiające oświadczenie ministra zdrowia

„Naukowe autorytety środowiska medycznego oraz kampanie informacyjne prowadzone przez WHO pomagają w walce z infodemią i zwalczaniu ruchów antyszczepionkowych. Międzynarodowa solidarność jest teraz potrzeba bardziej niż kiedykolwiek, aby posunąć naprzód proces szczepień. Nikt nie będzie bezpieczny, dopóki wszyscy nie będziemy bezpieczni” – czytamy w oświadczeniu ministra zdrowia Adama Niedzielskiego. 

Szef resortu zdrowia uczestniczył w spotkaniu wysokiego szczebla ONZ. Poinformował o tym fakcie w sobotę wieczorem.

https://twitter.com/a_niedzielski/status/1497655249452085250?ref_src=twsrc%5Etfw%7Ctwcamp%5Etweetembed%7Ctwterm%5E1497655249452085250%7Ctwgr%5E%7Ctwcon%5Es1

Do wpisu zamieścił link do swojego oświadczenia. Poniżej wybrane fragmenty. 

Temat debaty: „Przyspieszenie tempa działań na rzecz powszechnych szczepień”

„Świat stoi w obliczu największego wyzwania ostatnich dziesięcioleci. Epidemia wirusa Covid-19 udowodniła, że we wzajemnie powiązanym świecie lokalne ogniska epidemii mogą stanowić zagrożenie dla każdego kraju i każdego człowieka. Wyzwanie o skali ogólnoświatowej wymaga ogólnoświatowej reakcji” – czytamy.

Nowe wyzwania 

„Już ponad rok temu opracowano pierwszą szczepionkę. Od tego czasu
świat jest świadkiem jednej z największych kampanii szczepień w historii. Mimo to
wciąż jednak stoimy przed wieloma wyzwaniami związanymi z zapewnieniem szczepionek wszystkim potrzebującym” – brzmi kolejny fragment oświadczenia.

Zwalczanie ruchów antyszczepionkowych 

„Naukowe autorytety środowiska medycznego oraz kampanie informacyjne prowadzone przez WHO pomagają w walce z infodemią i zwalczaniu ruchów antyszczepionkowych. Międzynarodowa solidarność jest teraz potrzeba bardziej niż kiedykolwiek, aby posunąć naprzód proces szczepień. Nikt nie będzie bezpieczny, dopóki wszyscy nie będziemy bezpieczni” – czytamy.

Poniżej oświadczenie w języku angielskim datowane na 25 lutego 2022 roku.

Źródło: Dziennik Tarnogórski




Cena naszej prywatności

Polacy są skłonni płacić po 14-17 złotych miesięcznie, aby uniknąć reklam i ograniczyć platformom internetowym dostęp do swoich osobistych danych.

4,025 miliardów złotych warte były dla Google’a dane polskich użytkowników w 2020 r., a 2,196 mld zł – wynosiła wartość danych z Polski dla Facebooka. My jednak raczej nie chcemy, aby te obie globalne firmy miały wiedzę na nasz temat. Polacy są skłonni nawet płacić po kilkanaście złotych miesięcznie, aby ograniczyć przedsiębiorstwom dostęp do swoich prywatnych danych – mówi badanie przeprowadzone przez Polski Instytut Ekonomiczny. Ciekawe, czy Polacy byliby też skłonni zapłacić za to, aby mniej na ich temat wiedziały różne dzisiejsze instytucje rządowe?

Ponadto, aż 87 proc. uczestników badania PIE twierdzi, że firmy technologiczne wiedzą o nas za dużo, a 84 proc. uważa, że działalność tych firm powinna podlegać większej kontroli. Inny model funkcjonowania platform cyfrowych byłby zatem społecznie pożądany – wynika z raportu Polskiego Instytutu Ekonomicznego „Ile warte są nasze dane?”.
Polacy są więc generalnie niechętni temu, aby platformy cyfrowe na szeroką skalę wykorzystywały ich dane, a zwłaszcza za darmo. Lubimy zarobić, więc za obecną sytuację, w której platformy cyfrowe mają dostęp do niemal wszystkich naszych danych oraz wyświetlają spersonalizowane reklamy, przeciętny użytkownik internetu oczekiwałby pieniężnej rekompensaty.

Jak wskazuje PIE, ponad połowa pytanych internautów (63 proc.) zgadza się z postulatem zakazu pokazywania reklam na podstawie danych osób prywatnych. Z drugiej strony, zaledwie 38 proc. ankietowanych jest gotowych płacić za lepszą ochronę prywatności tym serwisom, z których korzystają.

„Może to być związane z nieufnością wobec takich firm. 76 proc. nie wierzy, że płatna wersja Facebooka lepiej chroniłaby ich prawa. W przypadku Google’a jest to 73 proc.” – mówi Ignacy Święcicki, kierownik zespołu gospodarki cyfrowej w Polskim Instytucie Ekonomicznym.

Zdaniem PIE, przychody Google’a i Facebooka z danych polskich użytkowników są znacznie wyższe od raportowanych przez polskie oddziały tych koncernów na potrzeby statystyki i dla organów podatkowych.

„Miesięczny przychód z danych pojedynczego polskiego użytkownika dla Google wynosi 10,16 PLN. Szacujemy, że łącznie w 2020 r. przychód z danych wszystkich polskich użytkowników wyniósł więc nawet 4,025 mld PLN. Miesięczny przychód z danych polskiego użytkownika dla Facebooka wynosi 8,52 PLN. Czyli – według naszych szacunków – łącznie w 2020 r. przychód z danych wszystkich polskich użytkowników mógł sięgać 2,196 mld PLN” – ocenia PIE.

W ostatnich latach mieliśmy do czynienia z ogromnym wzrostem skali i zasięgu działania oraz skokiem przychodów i zysków platform cyfrowych. W trzecim kwartale 2021 r. platformy miały aż 42 proc. udział w pierwszej 10 firm o najwyższej na świecie wycenie giełdowej. Dla porównania, jeszcze 10 lat wcześniej ten udział był zerowy, co poniekąd zrozumiałe, bo one dopiero wtedy rozwijały skrzydła. W przypadku Facebooka przychody z reklam stanowią 98 proc. przychodów firmy – 84 miliardów dolarów globalnie w 2020 r., w przypadku Google’a, udział przychodów z reklamy w przychodach firmy to 80 proc. – około 147 mld dol.

Sposób funkcjonowania platform cyfrowych wiąże się z pozyskiwaniem i przetwarzaniem ogromnych ilości danych użytkowników. Jak pokazało badanie Polskiego Instytutu Ekonomicznego, fakt ten nie umyka świadomości internautów. Aż 77 proc. respondentów zdaje sobie sprawę, że za bezpłatny dostęp do usług w sieci płaci swoimi danymi.

PIE w swym sondażu zapytał też o możliwość korzystania ze zmodyfikowanych wersji głównych serwisów, w których w zamian za płatność platformy zbierają mniej danych.

„Okazało się, że przeciętny badany jest skłonny płacić 17,07 zł miesięcznie, aby Facebook nie miał dostępu ani do danych agregowanych na platformie, ani pochodzących z innych źródeł. Za brak dostępu Google’a do prywatnych danych – w tym aktywności na innych portalach – Polki i Polacy byliby skłonni płacić 14,10 zł miesięcznie” – twierdzi Jacek Grzeszak, starszy analityk z zespołu strategii w PIE.

Jakakolwiek zmiana dzisiejszego, nadzwyczaj opłacalnego modelu biznesowego funkcjonowania platform cyfrowych będzie trudna do przeprowadzenia, ale wydaje się być społecznie oczekiwana. Aż 69 proc. respondentów w badaniu PIE uważa, że żadna strona internetowa ani aplikacja nie powinny pobierać opłat za dostęp.

Zdaniem PIE, twierdzenia dotyczące reklamy internetowej mogą jednak wydawać się paradoksalne. Z jednej strony bowiem 63 proc. internautów zgadza się z postulatem zakazu pokazywania reklam na podstawie danych osób prywatnych. Wprowadzenie w życie takiego kroku doprowadziłoby do zaprzestania tzw. targetowania reklam. W efekcie jedynym sposobem dopasowania reklam do potrzeb odbiorcy byłoby mało precyzyjne bazowanie na lokalizacji, z której dana osoba loguje się do internetu (czyli, czy z miasta, czy wsi) lub tzw. reklama kontekstowa, która zakłada dopasowanie treści reklam do zawartości stron, na których są one umieszczone. Z drugiej strony aż 43 proc. badanych wyraża przekonanie o tym, że obecne, kierowane do nich reklamy, odpowiadają na ich potrzeby.

Według PIE, te wyniki wskazują na pewną niekonsekwencję w odpowiedziach respondentów. W rzeczywistości chodzi jednak o to, że wbrew rozpowszechnionemu przekonaniu, reklama internetowa ma dość znikomy wpływ na zachowania zakupowe konsumentów, więc jest im raczej obojętne, czy odpowiada ona na ich potrzeby, czy nie.

Nie zmienia to faktu, że Polacy chętnie mogliby zaakceptować zmieniony model zarządzania usługami oferowanymi przez platformy. Chodziłoby w nim przede wszystkim o ochronę prywatności i ograniczenie lub nawet całkowite pozbycie się targetowanych reklam wyświetlanych użytkownikom.

Jak ocenia Krystian Łukasik, analityk z zespołu gospodarki cyfrowej w PIE, już przy opłacie rzędu około 10 zł miesięcznie, obie strony odczułyby korzyść – i nadawcy internetowi, i odbiorcy ich treści. Jest to bowiem kwota niższa niż deklarowana przez respondentów jako możliwa do zapłaty za wyeliminowanie dostępu do swych danych. Z drugiej zaś strony, jest wyższa niż średni miesięczny przychód platform z obecności jednego użytkownika.

Nie wiadomo jednak, czy inkasując te 10 zł miesięcznie, platformy cyfrowe rzeczywiście zrezygnowałyby z reklam, czy tylko jakoś zakamuflowały ich obecność? Szefowie tych koncernów najchętniej pragnęliby przecież mieć i dochody z reklam, i comiesięczne wpływy od użytkowników.

Trybuna.info




Co można przeoczyć gdy rozprasza cię wojna?

WHO planuje nowy „traktat pandemiczny” na 2024r.

W grudniu ubiegłego roku Światowa Organizacja Zdrowia (WHO) ogłosiła plany „międzynarodowego traktatu o zapobieganiu pandemii i gotowości na wypadek pandemii”.

Według strony internetowej Rady Europy utworzono „międzyrządowy organ negocjacyjny”, który odbędzie swoje pierwsze spotkanie w przyszłym tygodniu, 1 marca.

Celem jest „omówienie sprawozdania z postępów na 76. Światowe Zgromadzenie Zdrowia w 2023r.”, a następnie przygotowanie proponowanego instrumentu do prawnej implementacji do 2024r.

Nic z tego nie powinno dziwić, wszystkie znaki o tym świadczyły. Jeśli śledzicie sprawy uważnie, prawdopodobnie możecie domyśleć się prawie wszystkiego, co znajdzie się w nowych przepisach.

Dokument zatytułowany “Multilateralism in times of global pandemic: Lessons learned and the way forward” [„Multilateralizm w czasach globalnej pandemii: wyciągnięte wnioski i przyszłe rozwiązania”] został opublikowany przez G20 w grudniu 2020r.

Wyszczególnia wszystkie problemy, z jakimi borykały się wielostronne organizacje międzynarodowe podczas „pandemii” [podkreślenie dodane]:

Poszczególne państwa nie są w stanie samodzielnie, skutecznie zarządzać globalnymi zagrożeniami publicznymi, takimi jak pandemia COVID-19 […] przezwyciężenie obecnego kryzysu zdrowotnego i odbudowa źródeł utrzymania mogą zostać osiągnięte jedynie poprzez wielostronne działania zarówno na froncie gospodarczym, jak i społecznym […] pandemia COVID-19 i jej konsekwencje gospodarcze ujawniły słabość obecnych ustaleń dotyczących współpracy wielostronnej. Organizacje międzynarodowe upoważnione do odgrywania wiodących ról w rozwiązywaniu międzynarodowych kryzysów nie działały skutecznie.

Następnie proponuje się kilka rozwiązań, w tym…

G20 powinna wzmocnić potencjał Światowej Organizacji Zdrowia. Silniejsza i lepiej reagująca WHO może pomóc społeczności międzynarodowej skuteczniej radzić sobie z pandemiami i innymi wyzwaniami zdrowotnymi. Może zapewniać systemy wczesnego ostrzegania i koordynować szybkie globalne reakcje na sytuacje kryzysowe dotyczące zdrowia.

W styczniu 2021r. unijny thinktank Foundation for European Progressive Studies opublikował 268-stronicowy dokument zatytułowany „Reforming Multilateralism in Post Covid Times”, w którym wzywano do „Organizacji Narodów Zjednoczonych ze zwiększonymi kompetencjami i powiązaniami”, zasugerowano przystąpienie UE do Rady Bezpieczeństwa ONZ, i postawiono pytanie:

„Czy suwerenność narodowa jest zgodna z multilateralizmem?”

Kilka miesięcy później Fundacja Narodów Zjednoczonych opublikowała własną wariację na ten temat: „Reimagining multilateralism for a post-Covid future” [„Nowe wyobrażenie multilateralizmu dla przyszłości post-covidowej”].

Następnie, w maju 2021r., Międzynarodowy Panel ds. Gotowości na Pandemię opublikował swój raport na temat tego, jak świat poradził sobie z Covid, co w niektórych miejscach przypomina dokument G20. Dokonaliśmy tutaj szczegółowego podziału.

Była premier Nowej Zelandii Helen Clark, przewodnicząca panelu, powiedziała Guardianowi

[Pandemia została] spotęgowana brakiem globalnego przywództwa oraz koordynacji napięć geopolitycznych i nacjonalizmu osłabiającego system wielostronny, który powinien działać na rzecz bezpieczeństwa świata”.

Na początku tego miesiąca Komisja ONZ ds. Rozwoju Społecznego spotkała się po raz pierwszy w 2022r., kładąc nacisk na „Wzmacnianie wielostronności”.

Następnie, 17 lutego, Robert Dworkin z Europejskiej Rady Spraw Zagranicznych opublikował ten artykuł: „Health of nations: How Europe can fight future pandemics” [Zdrowie narodów: jak Europa może walczyć z przyszłymi pandemiami], w którym również wyraża zaniepokojenie „porażkami współpracy międzynarodowej podczas pandemii” i proponuje:

UE powinna połączyć dążenie do reformy i zwiększonego finansowania WHO ze wsparciem dla nowego funduszu na wypadek nagłych wypadków zdrowotnych, nadzorowanego przez reprezentatywną grupę krajów.

I tak dalej, itd, itp… komunikat jest więcej niż jasny.

Jeszcze w zeszłym tygodniu, przemawiając na panelu podczas Monachijskiej Konferencji Bezpieczeństwa, szwedzka minister spraw zagranicznych Anne Linde ostrzegła, że ​​Covid „ujawnił dziury” w porządku międzynarodowym, a ONZ, WHO i UE nie mają wystarczających uprawnień do podjęcia odpowiednich działań.

Wszystkie oznaki od miesięcy migają niczym neony: Nowe międzynarodowe przepisy dotyczące „radzenia sobie z przyszłymi pandemiami”.

Wszyscy wiedzieliśmy, że w końcu to nadejdzie. A teraz mamy harmonogram, który startuje 1 marca.

Niesamowite, co można niemalże przegapić, gdy rozprasza cię wojna, prawda?

A skoro mowa o wojnie, bardzo ciekawym barometrem będzie postawa WHO wobec Rosji podczas tego procesu. To, czy Rosja wypowie proponowany traktat, czy też zostanie wykluczona z negocjacji, wiele nam powie o tym, jak prawdziwy jest konflikt na Ukrainie i w jakim kierunku dalej pójdzie Wielki Reset.

Rzeczywiście, jeśli sama wojna jest wykorzystywana do dalszego argumentowania, że ​​potrzebujemy „silniejszych instytucji wielostronnych” lub „ważnych reform w radzie bezpieczeństwa”, może to w jakiś sposób ujawnić szerszy plan.

Off Guardian




Porządek z chaosu: Jak konflikt na Ukrainie przyniesie korzyści globalistom

Istnieje prawdopodobieństwo, że w ciągu najbliższych kilku miesięcy nastąpi bezpośrednie zaangażowanie militarne USA na Ukrainie, przy czym Rosja teraz otwarcie popiera i uznaje grupy separatystyczne w regionie Donbasu na wschodnim krańcu kraju i najwyraźniej rusza na pomoc militarną separatystom. To nie pierwszy raz, kiedy Rosja wysłała jednostki wojskowe na Ukrainę, ale po raz pierwszy od 2014 roku i aneksji Krymu groźba działań zbrojnych jest jawna, a nie ukryta.

Kiedy wybuchnie konflikt, zobaczysz rój relacji medialnych w krajach zachodnich, które próbują nakreślić złożoność stosunków między Rosją a Ukrainą od upadku Związku Radzieckiego, ignorując jednocześnie pewne niewygodne prawdy. Zobaczysz, jak wiele z tych historii konstruuje narrację, która następnie nadmiernie upraszcza sytuację i przedstawia Rosję jako potwornego agresora. Celem będzie przekonanie opinii publicznej, że nasze zaangażowanie na Ukrainie jest moralną i geopolityczną koniecznością. Będą próby zdobycia przychylności Amerykanów i wezwanie do wysłania tam amerykańskich żołnierzy. Joe Biden będzie na czele tego nacisku.

Impuls do konfrontacji jest oczywiście zakorzeniony w decyzji zachodnich mocarstw i ukraińskich urzędników z 2009 roku o rozważeniu członkostwa tego kraju w NATO. Większość działań Rosji w kontaktach z Ukrainą można zawdzięczać zaangażowaniu NATO w regionie, w tym rosyjskiej inwazji na Krym w 2014 roku. Ze strategicznego punktu widzenia ma to sens. Wyobraź sobie, że Meksyk nagle ogłosiłby, że przystępuje do sojuszu wojskowego z Chinami i że chińskie zasoby wojskowe zostaną przeniesione w pobliżu południowej granicy USA? Prawdopodobnie nie skończyłoby się to dobrze.

Oczywiście Rosja ma za sobą historię obłudnych zachowań, jeśli chodzi o zaangażowanie w sprawy sąsiadów. Na przykład zaledwie kilka miesięcy temu Kazachstan miał do czynienia z masowymi protestami, które zdaniem rządu były spowodowane „zagraniczną manipulacją”. Ale aby uzasadnić to twierdzenie przedstawiono zero dowodów. Twierdzenie to wystarczyło jednak, aby zracjonalizować rozmieszczenie 2300 rosyjskich żołnierzy za granicę celem stłumienia protestów.

W rzeczywistości obywatele Kazachstanu byli niezadowoleni z powodu gwałtownego wzrostu inflacji i wysokich cen gazu, które nadal miażdżą klasę średnią i biedę (brzmi znajomo?). W 2019 roku tylko 4% populacji żyło poniżej oficjalnej granicy ubóstwa. W 2020 roku liczba ta eksplodowała do 14% populacji. Dokładne liczby na 2021 r. są trudne do znalezienia, ale prawdopodobnie poziomy ubóstwa są obecnie bliższe 16%-20%. Przyczyny niepokojów społecznych były oczywiste i uzasadnione, ale protestujących Kazachów oskarżano o to, że są pionkami obcych wrogów. Jak zauważyłem ostatnio w wielu artykułach, jest to typowa strategia skorumpowanych rządów próbujących utrzymać władzę, gdy ludzie powstają i buntują się z uzasadnionych powodów.

Ponownie, wyobraźcie sobie, że kanadyjski rząd pod rządami Trudeau poprosiłby o pomoc wojskową USA w rozproszeniu protestów kierowców ciężarówek przeciwko jego drakońskim nakazom szczepień? Musimy przyjrzeć się tym decyzjom w kontekście, aby zrozumieć, jak naprawdę są one szalone.

Jak na ironię, Rosja z radością wspiera niepokoje separatystów na Ukrainie, pomagając jednocześnie uciszyć niepokoje w Kazachstanie. Należy pamiętać o tym wzorcu, ponieważ pomoże to zrozumieć, w jaki sposób wydarzenia wokół Rosji odzwierciedlają globalny trend, który może wpłynąć na Amerykanów w przyszłości.

Za bałagan dyplomatyczny między Ukrainą a Rosją można częściowo obwiniać obie strony, i to jest ten rodzaj historycznej dwuznaczności, w którym globaliści mają tendencję do rozkwitu. Mgła wojny pomaga przesłonić działalność establishmentu i często ludziom trudno jest zobaczyć, kto naprawdę czerpie korzyści z chaosu, dopóki nie jest za późno. Uważam, że problem Ukrainy jest przynajmniej częściowo zaprojektowany i zaprojektowany jako pierwsze domino w łańcuchu zamierzonych kryzysów.

Nie sądzę, aby globaliści mieli coś wyjątkowego w konflikcie na Ukrainie; równie dobrze mogliby próbować zainicjować regionalną wojnę na Tajwanie, w Korei Północnej, Iranie itd. Istnieje wiele krajów z beczkami prochu, które kultywują od kilkudziesięciu lat. Nie powinniśmy przesadnie koncentrować się na tym, kto ponosi winę między Ukrainą a Rosją, powinniśmy skoncentrować się na skutkach, które wynikną z jakiejkolwiek poważnej regionalnej katastrofy oraz na tym, jak globaliści wykorzystują takie katastrofy do dalszego programu całkowitej centralizacji władzy.

Scenariusz ukraiński mógłby być łatwo rozbrajany, gdyby obie strony podjęły pewne podstawowe środki dyplomatyczne, ale tak się nie stanie. Przedstawiciele NATO mogliby cofnąć się o krok od dążeń do dodania Ukrainy do swoich szeregów. Stany Zjednoczone mogą przestać wysyłać na Ukrainę gotówkę i broń, w wysokości 5,4 miliarda dolarów, od 2014 roku. Tylko w 2022 roku do tego kraju wysłano ponad 90 ton sprzętu wojskowego. Rosja mogłaby przestać wysyłać do Donbasu tajne jednostki do operacji specjalnych i chętniej podchodzić do stołu negocjacyjnego w celu omówienia rozwiązań dyplomatycznych. Powodem, dla którego te rzeczy się nie zdarzają, jest to, że nie pozwalają im się wydarzyć pośrednicy za kurtyną.

Wszyscy jesteśmy świadomi wpływów globalistycznych stojących za przywódcami USA i NATO, regularnie przedstawiamy tego niezaprzeczalne dowody. Zamiłowanie Bidena do instytucji globalistycznych jest dobrze znane. A co z Rosją?

W alternatywnych mediach i ruchu wolnościowym są tacy, którzy fałszywie wierzą, że Rosja jest antyglobalistyczna – nic nie może być dalsze od prawdy. Podobnie jak w przypadku wielu przywódców politycznych, Putin czasami używa antyglobalistycznej retoryki, ale jego relacje opowiadają inną historię. W pierwszej autobiografii Putina, zatytułowanej „Pierwsza osoba”, z sentymentem omawia swoje pierwsze spotkanie z globalistą NWO Henrym Kissingerem jako członek FSB (dawniej KGB). Gdy Putin awansował w politycznych szeregach, utrzymywał stałą przyjaźń z Kissingerem i do dziś jedzą oni regularne obiady, a Kissinger był doradcą wielu ministerstw Kremla.

Na tym się jednak nie kończy. Putin i Kreml utrzymywali także stały dialog ze Światowym Forum Ekonomicznym, projektem cieszącego się obecnie złą sławą globalisty Klausa Schwaba. W rzeczywistości dopiero w zeszłym roku Rosja ogłosiła, że ​​przyłącza się do „Sieci Czwartej Rewolucji Przemysłowej” WEF, która koncentruje się na socjalizacji gospodarczej, sztucznej inteligencji, „internecie rzeczy” i wielu innych globalistycznych interesach, które doprowadzą do światowej technokracji i tyranii .

Ponownie, rosyjski rząd NIE jest antyglobalistyczny. To twierdzenie jest nonsensem i zawsze było. Fantazję rosyjskiej opozycji przypisałbym ciągłemu strumieniowi propagandy i temu, co nazywam paradygmatem fałszywego Wschodu/Zachodu – oszukańczym przekonaniem, że program globalistyczny jest programem czysto zachodnim lub amerykańskim i że kraje takie jak Chiny i Rosja są mu przeciwne. Jeśli spojrzeć na bliskie interakcje między Wschodem a globalistami, ten pomysł całkowicie się rozpada.

Ważne jest, aby zrozumieć, że większość konfliktów między Wschodem a Zachodem to konflikty inżynieryjne, a przywódcy OBU STRON tak naprawdę nie są ze sobą w sprzeczności. Te wojny to raczej Teatr Kabuki; są to wojny dla wygody, mające na celu osiągnięcie ukrytych celów, jednocześnie hipnotyzując masy momentami terroru i nieszczęścia. Wszystkim, którzy mają co do tego wątpliwości, gorąco polecam zapoznanie się z dokładnie zbadanymi i udokumentowanymi pracami profesjonalnego historyka i ekonomisty Antony’ego Suttona, który całkiem przypadkowo natknął się na fakty dotyczące globalistycznego spisku i ujawnił swój zwyczaj grania po obu stronach prawie każdą wojnę w ciągu ostatniego stulecia, od rewolucji bolszewickiej do II wojny światowej i dalej.

Strategia porządku z chaosu nie jest niczym nowym, to coś, co globaliści robią od bardzo dawna. Liczba ujawnionych pokowidowych relacji na temat „Wielkiego Resetu”, do którego globaliści publicznie przyznali, jest tak oszałamiająca, że ​​nie można już dłużej zaprzeczać ich planom. Każdy sceptyk w tym momencie powinien być podejrzewany o jednocyfrowe IQ.

Więc teraz, kiedy ustaliliśmy rzeczywistość globalistycznego zaangażowania zarówno na Zachodzie, jak iw Rosji, musimy zadać sobie pytanie, jakie korzyści odnoszą z zainicjowania kryzysu między tymi mocarstwami na Ukrainie? Co z tego mają?

Jak zauważyłem w ostatnich artykułach, wydaje mi się, że Ukraina jest próbą Planu B, aby wyczarować więcej dymu i luster tam, gdzie pandemia nie spełniła planu Wielkiego Resetu. Jak Klaus Schwab i WEF stale zapewniali, widzieli oni pandemię jako doskonałą „okazję” do wymuszenia na świecie Czwartej Rewolucji Przemysłowej. Jak kiedyś wyraził opinię globalista Rahm Emanuel w następstwie krachu gospodarczego z 2008 roku:

Nigdy nie chcesz, aby poważny kryzys się zmarnował. I mam na myśli to, że jest to okazja do zrobienia rzeczy, o których myślisz, że nie mogłeś zrobić wcześniej.”

WEF jest starym wyjadaczem w tej taktyce. Klaus Schwab również użył dokładnie tego samego języka zaraz po krachu kredytowym w 2008 roku, którego używał po rozprzestrzenieniu się covid, zawsze próbując sprzedać globalne zarządzanie jako rozwiązanie każdej katastrofy:

To, czego doświadczamy, to narodziny nowej ery, pobudka do przebudowy naszych instytucji, systemów, a przede wszystkim naszego myślenia oraz dostosowania naszych postaw i wartości do potrzeb świata, który słusznie oczekuje znacznie wyższy stopień odpowiedzialności i rozliczalności” – wyjaśnił. „Jeśli uznamy ten kryzys za naprawdę transformujący, możemy położyć podwaliny pod bardziej stabilny, bardziej zrównoważony i jeszcze bardziej zamożny świat”. – Klaus Schwab o Global Redesign Initiative, 2009

Schwab skoczył wtedy z broni, tak jak skoczył z broni w 2020 roku, kiedy ogłosił Wielki Reset, nieuniknionym w obliczu kowidem. Globaliści musieli spodziewać się znacznie wyższej śmiertelności z powodu wirusa, ponieważ praktycznie tańczyli na ulicach, zachwyceni ilością władzy, którą mogli ukraść w imię „ochrony społeczeństwa przed globalnym zagrożeniem zdrowia”. Jeśli spojrzysz na symulację WEF i Gates Foundation pandemii Covid, Events 201, które odbyło się zaledwie dwa miesiące przed RZECZYWISTOŚCIĄ, wyraźnie spodziewali się, że covid wyrządzi znacznie więcej szkód, przewidując początkową liczbę zgonów w wysokości 65 milionów. To się nigdy nie wydarzyło; nie jest nawet blisko.

Trudno powiedzieć, dlaczego oczywista broń biologiczna, taka jak covid, nie spełniła swojego zadania. Wirusy mają tendencję do szybkiej mutacji na wolności i zachowują się inaczej niż w warunkach laboratoryjnych. Rozważyłbym nawet możliwość boskiej interwencji. Bez względu na przyczynę, globaliści nie dostali tego, czego chcieli, a teraz potrzebują kolejnego kryzysu, aby naoliwić przekładnie machiny o nazwie Reset. Ponieważ i tak już niewielka śmiertelność spada jeszcze bardziej w przypadku wariantu Omicron, a połowa stanów USA w pełni sprzeciwia się nakazom szczepionek, jest tylko kwestią czasu, zanim reszta świata zapyta, dlaczego nadal są poddawani leczeniu. Autorytaryzm?

Wojna na Ukrainie i sama groźba rozszerzenia się wojny poza region może dokonać wielu rzeczy, których nie udało się covidowi. Zapewnia trwałą przykrywkę dla stagflacyjnego załamania, które jest obecnie w pełnym rozkwicie w Stanach Zjednoczonych, problemów z łańcuchem dostaw, które trwają na całym świecie, a także destabilizacji gospodarki europejskiej. W szczególności UE jest silnie uzależniona od rosyjskiego gazu ziemnego w celu ogrzewania domów i utrzymania gospodarki. Rosja dławiła w przeszłości dostawy gazu ziemnego do Europy i zrobi to ponownie. Eksport rosyjskiej ropy naftowej również wypełnia luki w popycie na świecie, a eksport ten zostanie zduszony sankcjami lub celowym odcięciem przez Kreml dostaw do niektórych krajów.

Wojna zawsze odwraca uwagę od sabotażu gospodarczego. Mimo że banki centralne często zasiewają i podlewają nasiona krachów finansowych z dużym wyprzedzeniem, banki nigdy nie ponoszą winy, ponieważ konflikty międzynarodowe wygodnie zajmują centralne miejsce. Co za tym idzie, kryzys gospodarczy powoduje masowe ubóstwo, masową desperację i masową histerię, a globaliści powiedzą, że te zagrożenia wymagają międzynarodowego rozwiązania, które z radością zapewnią w postaci centralizacji.

W Stanach Zjednoczonych i wielu innych krajach zachodnich, w których wielu ludzi wciąż broni wolności jednostki, globaliści wyraźnie chcą wykorzystać napięcia z Rosją jako środek do uciszenia publicznego sprzeciwu wobec autorytarnej polityki. Już teraz widzę liczne przypadki przedstawicieli establishmentu i lewicowców w mediach społecznościowych sugerujących, że działacze na rzecz wolności są „pionkami Rosjan” i że jesteśmy przyzwyczajeni do „dzielenia i rządzenia”. To bzdury nie poparte niczym, ale i tak próbują narracji, aby sprawdzić, czy się trzyma kupy.

Nie mam wątpliwości, że każdy bunt w USA przeciwko globalistom będzie obwiniany o ingerencję z zagranicy. Jak wspomniano wcześniej, ostatnią rzeczą, jakiej pragną elity, są ruchy wolnych ludzi, które w imię wolności blokują reset. Byliśmy tego świadkami w Kanadzie, gdzie Trudeau ogłosił jednostronne uprawnienia nadzwyczajne przeciwko protestom kierowców ciężarówek, dając sobie totalitarny poziom kontroli. Nawet rosyjski rząd interweniował w takie publiczne akcje, aby zapobiec jakimkolwiek aktywistycznym rozpędom. Biden będzie próbował zrobić to samo, a wojna, nawet mniejsza wojna regionalna, daje mu podstawy do uciskania sprzeciwu w imię bezpieczeństwa publicznego.

Co ciekawe, stan wojenny w USA jest również znacznie łatwiejszy do uzasadnienia prawnie i historycznie dla rządu, o ile jest on tworzony w odpowiedzi na inwazję obcego wroga. Rosyjskie narracje o wpływach mogą równie dobrze przygotowywać do wprowadzenia stanu wojennego w Ameryce. To, czy to się rzeczywiście powiedzie, to inna sprawa.

Konsekwencje strzelaniny na Ukrainie będą daleko wykraczać poza rozproszenie uwagi amerykańskiej opinii publicznej; moim zamiarem nie jest sugerowanie, że dotyczy to tylko Amerykanów. Chodzi mi o to, że są pewne miejsca na świecie, które z natury są odporne na globalistyczny schemat, a nastawiony na wolność Amerykanie są główną przeszkodą. Jeśli wybuchnie bunt na dużą skalę przeciwko Wielkiemu Resetowi, zacznie się to tutaj. Globaliści też o tym wiedzą, dlatego bez wątpienia USA będą centralnie zaangażowane w ukraińskie bagno.

Choć wydarzenie to byłoby katastrofalne dla Ukraińców i prawdopodobnie wielu Rosjan, istnieją głębsze i bardziej niebezpieczne podstawowe zagrożenia wymierzone przeciwko USA, a wojna na Ukrainie jest dla wielu z nich skutecznym kozłem ofiarnym.

Brandon Smith

[Wybrane wypowiedzi internautów pod w/w tekstem na stronie źródłowej: (tłumaczenie automatyczne)]

Ukraina nie jest członkiem NATO ani członkiem UE. Nie obowiązują żadne traktaty zmuszające inne kraje do interwencji w imieniu Ukrainy. Przywódcy Ukrainy napełnili kieszenie. Nie myślano o rozwoju gospodarczym i bezpieczeństwie narodowym. Ale kto może ich winić, skoro sumienia jest im z reguły brak? Nie ma mowy, by Ukraina wygrała wojnę z Rosją i nie ma mowy, żeby USA bezpośrednio interweniowały w sposób wystarczająco na czas, by „cofnąć wszystko, co ma być zrobione”. Poszukaj w USA sposobów na zaangażowanie Polski, Łotwy i Litwy. Ale nie może dotyczyć NATO. Ukraina historycznie może być częścią silnej Rzeczypospolitej Obojga Narodów – ale od końca XVIII wieku nie ma na to podstaw ekonomicznych ani militarnych. I odwrotnie, Ukraina może być częścią silnych Niemiec lub Austro-Węgier. Nie ma też dziś podstaw dla Austro-Węgier. To pozostawia Niemcy. Ale Niemcy i UE są słabe dzięki transatlantyckim strukturom bankowym i nie do utrzymania sojuszowi wojskowemu za pośrednictwem NATO. Nie można pozwolić Niemcom w obecnym wcieleniu na Ukrainę, bo wtedy Niemcy i ich UE byłyby na tyle silne, by być całkowicie niezależne od USA. Tak więc polityka USA wobec Ukrainy i ogólnie większości „Middel-Evropy” polega na tym, aby zardzewieć lub stać się państwami upadłymi. W ten sposób Europa jest słaba, Rosja jest słabsza niż byłaby inaczej. Najbardziej ekonomicznie i militarnie rozsądną rzeczą dla Ukrainy jest bycie z Rosją i Białorusią itp.

 

Autor odpowiada:

Tak naprawdę nie zależy to od Ukrainy, USA czy Rosji, tylko od globalistów, którzy kierują wszystkimi swoimi rządami. Jeśli chcą szerszej wojny, stworzą ją. Od nas zależy, czy zdecydujemy się nie brać udziału w wojnie, która naprawdę ma znaczenie – wojnie z globalnymi elitami.

Alt-Market




CDC przyznaje się w końcu do… teorii spiskowej

Pamiętasz ten pobrany od ciebie wymaz z nosa celem przeprowadzenia testu na Covid-19? Co stało się później z tym wymazem? Jeśli został on użyty do testu PCR, to istnieje 10% możliwość, że wykorzystany on został przez laboratorium do genetycznego sekwencjonowania DNA.

Taki komunikat ukazał się kilka dni temu na oficjalnym koncie twitterowym CDC, kryminalnej organizacji działającej jako agencja federalna pod pełną nazwą „Centers for Disease Control and Prevention ” („Centra Kontroli i Prewencji Chorób”). Post twitterowy wywołał najpierw konsternację, a potem masową reakcję, z tysiącami wpisów oskarżających o przyznanie się CDC do uczestnictwa w spisku tworzenia bazy danych DNA testowanych osób, jak również wpisów tych broniących agencję, która przecież nigdy nikogo w niczym nie oszukała i zawsze kieruje się „naukowymi wytycznymi” i „etyką”.

Atmosfera z dwuznacznym wpisem CDC rozgrzała się do tego stopnia, że dzień później (16 lutego) agencja umieściła komunikat „wyjaśniający” poprzedni post: „CDC i nasi partnerzy przeprowadzają analizę sekwencjonowania wirusa, który spowodował Covid-19. Sekwencjonowanie wirusa jest pomocne w identyfikowaniu i monitorowaniu rozprzestrzeniania się mutantów”.

Samo „sprostowanie” CDC po pierwszym niefortunnym wpisie, dolało oliwy do ognia, gdyż nie wnosi ono wiele do dyskusji, bowiem CDC nie zaprzeczyła iż materiał nie będzie wykorzystany do badania DNA biorcy. Napisano jedynie, że będzie badany do „sekwencjonowania wirusów”, lecz logicznie jedno nie wyklucza drugiego.

CDC przekierowuje w swych postach do filmów umieszczonych na Youtube, w kanale pisma Wired (jest to miesięcznik skierowany w swej pstrokatej, chaotycznej, nieczytelnej formie do rozkojarzonego młodego pokolenia Y i Z, a w treści pełen ultra-lewicowych poglądów zniekształcających historię, a nawet nauki ścisłe; Wired jest bardzo wpływowym pismem, w którym ukazują się „kontrowersyjne” teksty, np. popularyzujące eutanazję czy transhumanizm).

W propagandowych filmach próbuje się usprawiedliwić wykorzystywanie wymazów przeznaczonych do testów PCR, do dalszego ich przetwarzania ich w laboratoriach genetycznych. Niestety, CDC nie ujawnia jakie to laboratoria biorą udział w tym programie, a co do zapewnień tej agencji, iż badania te mają na celu „sekwencjonowanie wirusa”, a nie badanie DNA dawcy, istnieje podwójne podejrzenie.

Po pierwsze, do dnia dzisiejszego sama CDC przyznaje, że nie dysponuje wyizolowanym – według podstawowych standardów naukowych – tzw. wirusem SARS-CoV-2, mającym powodować tzw. Covid-19. Również nikt nigdzie na świecie, żadne laboratorium nim nie dysponuje . [Przypominamy linki: „Czy „wirus SARS-CoV-2” istnieje, czy został wyizolowany? Ponad 90 najważniejszych instytucji na świecie nie potrafi tego udowodnić… „ oraz “SARS-CoV-2 nigdy nie był wyizolowany. SARS-CoV-2 nie istnieje”] Jak więc można badać „mutanty”, jeśli nie mamy wariantu zero, poza oczywiście komputerowym modelem, na którym oparto całe zastraszenie „pandemią”, „wirusem” i „testami”, z testem PCR jako „złotym standardem”.

Po drugie, jaką możemy mieć pewność, że te tajemnicze i nie wymienione laboratoria („nasi partnerzy„) nie powstrzymają się od badania DNA osoby testowanej? Oczywiście żadnej, bo minęły już bezpowrotnie czasy abyśmy mogli wierzyć na słowo agencjom, które setki razy dały się złapać na soczystych kłamstwach, manipulacji danymi oraz koordynowaniu przestępczej działalności w ramach swoistej „pandemii” – pandemii bez ofiar; agencjom które wiernie służą globalnemu procesowi przebudowy świata; agencjom których nie interesują ofiary tej przebudowy, jak np. ofiary wyszczepień eksperymentalnym preparatem zwanym „szczepionką przeciwko Covid-19”.

CDC oraz ich „partnerzy”, dysponując wymazem z nosa z pewnością przechowują te próbki, bo przecież nie wolno pozbywać się cennych materiałów, a „rozwój nauki” w pewnym momencie zmusi do sięgnięcia do magazynów. Żadne prawo bowiem nie reguluje sposobu, czasu przechowywania tych próbek. W ramach „pandemii” stworzono tymczasowe „sytuacje awaryjne” i „stany wyjątkowe” zezwalające na łamanie podstawowych praw człowieka, jego prywatności i własności. Dzisiaj, żadne prawa nie obowiązują, chyba że narzucone plebsowi przez różne agencje i ich „partnerów”.

Patykiem w nosie

A jeśłi chodzi o samo pobieranie próbek z nosa to warto przy okazji przypomnieć, że jest to jeden ze sposobów „testowania”, najczęściej stosowany, i niestety najbardziej nieprzyjemny. Druga metoda, która nawet przez CDC jest podawana jako w pełni równoważna, polega na pobieraniu materiału ze śliny. I w ten sposób, poprzez po prostu plucie w kubeczek, testowało się np. sportowców podczas Olimpiady w Tokio 2020, a obecnie stało się dosyć powszechną wśród pracowników amerykańskich szpitali (ale pacjentów dalej testuje się patykami). Niestety, narzucona od początku tzw. pandemii metoda grzebania patykiem w nosie, metoda upokarzająca i niebezpieczna, jest dalej stosowana powszechnie na świecie, również przez władze w Polsce. Można sądzić, że wybrano tę najbardziej bolesną i nieprzyjemną metodę właśnie celem upokarzania osób „podejrzanych” – o roznoszenie wirusa, o infekcje, o chorobę, czy po prostu, dla samej przyjemności upokarzania.

Zaczęło się od przestępców…

W 1990 roku FBI rozpoczęło zbieranie danych DNA, najpierw od wszystkich osób skazanych, potem – jak to określają – „osób wartych zainteresowania”, z czasem z pewnością dużo szerzej, a inicjatywa w końcu, przez te ponad 30 lat, przekształciła się w potężną bazę danych Combined DNA Index System, w skrócie CODIS. Rozwój genetyki, a szczególnie sekwencjonowania DNA doprowadził do jeszcze większego zapotrzebowania na informacje genetyczne. Zasysanie, wyciąganie, a następnie przetwarzanie informacji stało się jedną z podstawowych lukratywnych form biznesowych. Informacja – również o Tobie, o Twoim DNA, o Twoich biometrycznych wskaźnikach, oraz oczywiście o Twoich zainteresowaniach, poglądach, kontaktach, zakupach, miejscach pobytu, miejscach odwiedzanych stron internetowych, itp – stały się materiałem biznesowym, jak również budulcem podwalin nowego systemu, Nowego Światowego Porządku, w którym ciała nadzorcze (władza, organizacje ponadnarodowe), będą właścicielami Twoich danych, na podstawie których będą decydowały o Twoich losach. Decydowały całkowicie, bezdyskusyjnie i bezwzględnie, w ramach właśnie budującego się cyfrowego aparatu „kredytu społecznego”, kiedy to wo końcu zaowocuje proroczymi słowami Apokalipsy św. Jana (Ap 14.16).

… dziś wszyscy jesteśmy potencjalnymi przestępcami

Nie miejmy złudzeń co do komercyjnych inicjatyw, w rodzaju 23andMe, firmy reklamującej swe testy DNA jako narzędzie ustalania drzewa genealogicznego czy potwierdzania linii przodków. To wszystko ma podrzędne znaczenie, gdyż celem tego rodzaju firm jest pozyskiwanie Twoich danych DNA. Firmy te mają jeden jedyny i najważniejszy cel: zbieranie, gromadzenie i przetwarzanie danych. Nieprzypadkowo 23andMe już na samym początku została zasilona finansowym zastrzykiem od Google, a oficjalnie założycielką była nijaka Anne Wojcicki (b. żona „założyciela” Googla, Siergieja Brina), zresztą siostrzyczka Susan Wojcicki, obecnie szefowej Youtube. (Obie córeczki nijakiej Esther Wojcicki, z żydowskiego domu Hochman).

Firmy zbierające Twoje dane DNA konkurują ze sobą i niemal wszystkie operują w obszarze zaspakajania ciekawości rodzinnych powiązań, ustalania ojcostwa, itp. To tylko przykrywka do gromadzenia danych, tak jak „darmowe” usługi internetowe (poczta gmail, wyszukiwarki, itp), za które płaci się swoją własną „skórą”, gdyż służą one jako narzędzia gromadzenia danych, a następnie ich przetwarzania i odsprzedawania. Niektóre z tych firm przeprofilowały się z „tradycyjnych” drzew genealogicznych, jak firma Ancestry, prowadzona przez tzw. „Kościół Jezusa Chrystusa Świętych w Dniach Ostatnich”, czyli mormonów (jest to sekta w sposób wręcz paranoidalny wielbiąca żydów). Jej odnoga, AncestryDNA, to obecnie największa na świecie prywatna firma gromadząca dane DNA, chwaląca się sprzedażą 20 milionów zestawów do samodzielnego ustalania DNA i posiadaniem 10 miliardów informacji osobowych.

NIGDY nie korzystaj z ŻADNYCH usług mogących bezpośrednio czy pośrednio wydobyć Twoje DNA. Oddajesz w ten sposób więcej niż nawet sobie zdajesz sprawę!

Obok komercyjnych firm oczywiście doskonale funkcjonują bazy danych agencji rządowych – jak wspomniana FBI – oraz laboratoria i bazy danych militarne. Pojawiają się również informacje o tworzeniu oficjalnej, rządowej ogólnokrajowej bazy danych DNA dla wszystkich mieszkańców USA. Rozsyłanie przez obecnego administratora Białego Domu tzw. testów na Covid, ma służyć przyzwyczajeniu społeczeństwa do idei testowania się również w domu i do nieustannego monitoringu.

Dziś „rezygnuje się” z niektórych przymusowych testów, ale rozluźnianie restrykcji kowidowych to tylko pozorna gra obliczona na jeszcze mocniejsze przykręcenie śruby. Każdy mechanik wie, że aby być pewnym, że gwint jest dopasowany, niekiedy trzeba zrobić lekki obrót w tył. Właśnie przećwiczany jest obecnie ten manewr.

Rozwój nauki i wykorzystanie zgromadzonych materiałów genetycznych będzie służyło również tworzeniu różnych patogenów skierowanych dla wybranej grupy ludności. Przy zastosowaniu retoryki „ochrony zdrowia” i „walki z wirusami”, laboratoria będą mogły stworzyć precyzyjną broń, a politycy bez żadnych skrupułów zastosują ją gdy będą uważali za stosowne. W ramach kolejnego eksperymentu będą ginęli ludzie, niewygodne grupy, mogą również być unicestwiane całe masy, społeczeństwa. Wszystko będzie zakrapiane retoryką rozwoju nauki, walką z chorobami, konieczością zaciśnięcia pasa, cierpliwego znoszenia chwilowych braków i „wypłaszczenia się krzywej”. Bo celem jest stworzenie łatwo modelowalnego, posłusznego, wykonującego rozkazy, w pełni podporządkowanego społeczeństwa transhumanistycznych pół robotów. Będą idealnym narzędziem generowania zysków spijanych w patologicznych libacjach i orgiach przez możnych tego, i przyszłego świata.

Oprac. www.bibula.com
2022-02-25

Polecamy interesujący film na Youtube, omawiający kwestie zbierania DNA i możliwości identyfikacji niemal każdego na podstawie już teraz zawartych w bazach danych informacji, nawet jeśli bezpośrednio dane te nie są tam (jeszcze) zarejestrowane. Choć ustalenie DNA niemal każdej osoby poprzez skomplikowane metody porównawcze jest już dzisiaj możliwe, to jest czasochłonne i kosztowne, więc celem jest stworzenie tak wielkiej bazy danych, aby zadanie to było szybkie i przy minimalnych kosztach biznesowych. Bo każdy z nas, jak i całe społeczeństwo jesteśmy tylko materiałem do przetwarzania, jesteśmy nawozem do robienia dobrych geszeftów.

How They Caught The Golden State Killer

Bibuła




Szczepionki mRNA zatwierdzone bez przeglądu regulacyjnego

Wniosek oparty na australijskiej ustawie o wolności informacji do lokalnego organu zatwierdzającego leki Therapeutic Goods Administration (TGA) ujawnił teraz kolejny niesamowity skandal związany z „warunkowym” lub awaryjnym zatwierdzeniem szczepionek mRNA pod koniec jesieni 2020 r.: Urząd, odpowiednik Europejskiej Agencji Leków EMA, w ogóle nie dysponował wiedzą techniczną, aby móc technicznie i naukowo sprawdzić szczepionki Covid-19 oparte na technologii mRNA!

Wyszło to na jaw, gdy TGA, które działa pod australijskim Departamentem Zdrowia w Canberze, nonszalancko stwierdziło, że po prostu nie istnieją (!):
Ponadto oświadczenie sugeruje, że całkowity brak dokumentów badania rejestracyjnego wynika z faktu, że nie zostały one utracone, ale nigdy nie istniały. Jednak to szczere ujawnienie rodzi teraz niezwykle drażliwe pytanie, na jakiej podstawie szczepionka mRNA została faktycznie zatwierdzona w Australii i w jaki sposób odpowiedzialny organ był w stanie wypełnić swój prawny obowiązek przetestowania jej bezpieczeństwa i skuteczności?

Odpowiedź przyprawia o dreszcze można też przypuszczać, że Australia nie była jedynym krajem zachodnim, w którym pod presją polityczną i lobbystów szczepień zrobiono takie głupstwo z aprobatą szczepień, co zrobiono za wszelką cenę i w pośpiechu. Najwyraźniej polegano wyłącznie na ekspertyzach zewnętrznych.

W tak trudnych czasach coraz trudniej jest gwarantować informacje przeciwko systemowi i demaskować chytre elity. Mówienie o sprawach związanych z COVID oraz sytuacji agresji Rosji na Ukrainę z innej perspektywy jest ryzykowne. Wspieraj ciężką pracę, którą wykonujemy każdego dnia, opierając się na logice, zgodnie z którą informacje przechodzą oswojone tylko w kanałach głównego nurtu.

Źródło: Lega Artis




Rosja grozi Finlandii i Szwecji

MSZ Rosji stwierdziło, że wstąpienie Finlandii i Szwecji do NATO miałoby poważne konsekwencje militarne i polityczne oraz pociągnęłoby za sobą reakcję – powiedziała w piątek rzeczniczka MSZ Rosji Maria Zacharowa. Wcześniej tego dnia prezydent Finlandii Sauli Niinisto uczestniczył w nadzwyczajnym szczycie NATO w Brukseli.
„Nie poruszyłem na szczycie możliwości członkostwa Finlandii w NATO” – powiedział Niinisto w piątek wieczorem podczas konferencji prasowej dla fińskich mediów.

Zapytany przez dziennikarzy o komentarz do słów Zacharowej, przyznał, że nie różnią się one od wcześniej przedstawianych przez Rosję poglądów, np. prezydenta Władimira Putina czy szefa rosyjskiego MSZ Siergieja Ławrowa, z którymi rozmawiał wielokrotnie.

„Nie odbieram tych słów jako groźby” – podkreślił.

„Nie sprowadzę wojny do Finlandii, gdy nie ma do tego powodu” – odpowiedział nie wprost fiński prezydent, ucinając spekulacje.

Piątkowe oświadczenie Zacharowej jest interpretowane, szczególnie przez media zagraniczne, jako „groźba czy ostrzeżenie Rosji pod adresem Finlandii” – komentuje fińska prasa. Często powtarzane przez Ławrowa słowa o „poszanowaniu suwerenności” i podziękowaniu za „neutralność” należy tłumaczyć w ten sposób, że jedynie brak przynależności Finlandii i Szwecji do bloku wojskowego jest gwarancją bezpieczeństwa w Europie – pisze dziennik „Ilta-Sanomat”.

„Nie (wolno) dać się sprowokować takimi komunikatami” – skomentował słowa Zacharowej szef Fińskiego Instytutu Spraw Międzynarodowych Mika Aaltola w programie telewizji Yle. Według niego Finlandia musi zadbać o własną obronność, co w praktyce skupia się na liczącej ponad 1300 km granicy z Rosją, będącej również zewnętrzną granicą UE.

Fińskie władze od wielu lat utrzymują tzw. opcję NATO, czyli możliwość ubiegania się o członkostwo w Sojuszu, gdyby wymagała tego sytuacja bezpieczeństwa. Według komentatorów ta swoista „karta NATO” pełni rolę straszaka w relacjach z Rosją i jest jak dotąd optymalną strategią polityki zagranicznej i bezpieczeństwa.

Dyskusje o ewentualnym wejściu Finlandii do NATO toczą się w kraju co najmniej od upadku ZSRR. Większość ugrupowań parlamentarnych jest jednak sceptyczna wobec członkostwa. Z sondaży wynikało, że jedynie ok. 20-25 proc. mieszkańców kraju chciałoby przynależności kraju do Sojuszu. Agresja Rosji na Ukrainę przesunęła jednak debatę na inny poziom, a pod inicjatywą obywatelską opowiadającą się za przeprowadzeniem referendum w kwestii członkostwa Finlandii w NATO w kilka dni podpisało się ponad 25 tys. osób.

Premier Sanna Marin mówiła w tym tygodniu, że proces związany z ewentualnym ubieganiem się o członkostwo w NATO wymaga silnego poparcia społecznego oraz szerokiego porozumienia w parlamencie. „Jesteśmy partnerem NATO” – powtórzyła w piątek, będąc gościem w wieczornym programie telewizji Yle.

Źródło: Lega Artis